(내돈내산 1탄) 앞니 교정 올세라믹 임플란트 비용 신경치료 치과
치아교정 인간의 5복 중의 하나인 치아복이 없어 어릴 때부터 수많은 치료를 해왔다. 우스갯소리로 치아치료와 교정에 들인 돈만 그랜져 한대값은 되는데 실제로 그렇다. 턱은 좁은데 치아가 컸
everyhappystep.lemontreenews.com
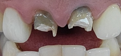
앞니 신경치료
2005년 앞니교정을 한 후 새로 다시 하게 된 2022년까지 꽤 많은 시간을 잘 버텨왔다. 물론 그 사이 서너 차례 다시 하는 보강 작업을 하였지만 그래도 심미적으로는 만족하였다.
처음 올세라믹 앞니 교정을 했을 당시 앞니 2개는 신경치료를 진행하였는데 그 옆은 진행하지 않았다. 이유는 정확하게 모르겠다. 앞니 성형을 하려면 임플란트처럼 기둥을 만들어야 하는데 이 과정에서 많은 치아 절삭이 있기에 신경을 일부로 죽이는 과정을 하기도 하는데 앞니 옆에 이는 진행하지 않았고 결국 잇몸염증이 생겼다.
사실 10여 년 넘게 잘 버텨온 거긴 한데 염증이 생기면 신경치료를 해야 하고 신경치료는 치아에 관을 뚫어 잇몸까지 들어가 치료를 하는 것으로 또 나의 치아는 붕괴가 돼야 한다.
사실 앞니 교정을 하는 거에 대해서 통증은 아예 없었기에 두려움은 없는데 치아절삭으로 인해 치아를 점점 잃을 수 있다는 고통이 굉장히 심하다. 내 나이 이제 마흔 되었는데 쉰이 되기 전에 틀니를 끼게 되면 어쩌나 그런 걱정이 크다.

앞니 교정
신경치료를 하기 위해 다시 이를 갈아냈고 그 과정에서 앞니가 크랙이 가서 앞니 3개를 다시 하게 되었다. 앞니성형은 절삭에 대한 고통도 있지만 비용도 만만치 않기에 걱정반이었지만 그래도 한차례 정확한 점검이 필요할 듯해서 모두 갈아내게 되었다.

앞니 포스트 제거
내 앞니는 너무 많이 절삭된 상태라 인위적으로 기둥을 심기 위해 포스트라는 기둥을 세우게 되는데 2005년 당시 하필 스크루드라이버 같은 쇠기둥을 박아 놓아 제거가 매우 어려웠다.
이것을 어떻게 제거하나 궁금했는데 앞니 기둥인 포스트 사이사이로 치아를 녹여 틈을 만든 후에 빼내는 것이다.이렇게 나의 치아는 다 없어지는 것인가에 대해서 정신적 충격이 크다.

앞니 신경치료
앞니에 심은 기둥인 포스트를 제거 후에 들여다본 앞니는 처참했다. 과거에 아말감으로 때운 자리가 놀아 들어 색이 변질되었고 안은 시커멓게 변해있었다. 앞니 올세라믹을 한 개씩 붙여 넣었더니 틈이 생겨 두 개를 붙여 넣었던 것이 문제가 되어있었던 것이다. 이 끔찍한 상황을 수차례 무려 두 달에 걸쳐 치료하였다.

앞니 재건
앞니 신경치료가 끝나고 최종적으로 다시 기둥을 만들었다. 그래야 앞니를 붙일 수 있기에 기둥을 만들어야 하는데 포스트를 대고 레진으로 기둥을 만들어서 그 위에 지르코니아로 덮는다.
과거에는 올세라믹이라는 재질이 튼튼해 좋다 하였는데 세월이 흘러 요즘은 지르코이나라는 재질이 내구성이 좋아 많이들 사용하는 거 같다. 래미네이트의 경우는 덮는 경우보다는 위에 붙이는 경우 많이들 사용하는 거 같다.
치아의 기둥을 만들고 본을 떠서 지르코니아 치아가 완성되면 치아에 덮어 씌워서 비로소 내 치아가 된다.

앞니 교정 비용
2005년 당시 1개당 비용이 60만 원선이었는데 이번에도 1개 비용이 60만 원이었다. 물론 치과나 지역마다 상이할 것이라고 본다. 예전에는 올세라믹이었고 지금은 지르코니아라는 것은 다르다.
2005년 당시에는 앞니 성형이 막 유행할 시기였고 내가 한 이후로 연예인들이 래미네이트 앞니 성형했다 말이 많이 나올 정도로 내가 일반적으로 보편화되기 전에 한 것은 맞는 거 같다. 그만큼 콤플렉스를 무리하게 치료를 했던 것이었다.
그래서 그런지 그 당시 붐이 일었던 손님이 많은 치과에서 진행하였고 임상도 부족했고 심미적 디자인은 마음에 들었지만 섬세한 진료를 받을 수 없었다.
그러나 이번에는 아주 장기간 섬세한 치료를 통해 다시 태어난 치아를 가진 기분으로 지르코니아 치아를 얻게 되었다. 물론 사후 관리가 제일 중요하다. 치실, 치간칫솔, 잇몸마사지 이것들을 매일 실천하려고 노력하고 있다.
이다음 치아가 더 망가진다면 진짜 임플란트나 틀니로 갈 수 있다.
씹고 뜯고 맛보고 즐기는 건강한 치아를 위해서는 치주염으로 이어지지 않게 항상 관리를 하며 지켜내야 하는 것이다.
"이 포스팅은 쿠팡 파트너스 활동의 일환으로, 이에 따른 일정액의 수수료를 제공받습니다."
'건강꿀팁' 카테고리의 다른 글
| 네고왕 푸드올로지 콜레올로지 컷 2주 신봉선 빨간통 다이어트 부작용 파란통 (1) | 2023.09.18 |
|---|---|
| (내돈내산) 삭센다 주사 약 다이어트 가격 약국 부작용 닥터나우 3일차 (0) | 2023.07.10 |
| (내돈내산 1탄) 앞니 교정 올세라믹 임플란트 비용 신경치료 치과 (0) | 2023.02.22 |
| 난임의 치명적 원인 환경호르몬 비스페놀A 및 도움되는 생활습관 (0) | 2022.07.19 |
| 항문 가려움 항문 소양증 원인 증상 및 예방법 연고 (0) | 2022.07.12 |


